历经八年时间、三次手术,她拨开云雾见月明
- 2023-10-28 10:11
- 网络
“我的世界都明亮了!”对于我们常人来说是一件再普通不过的事情,但对于一些需要角膜移植的患者来说,却是长久以来的期盼。
近日,深圳爱尔眼科医院就有一位经历了三次手术才完全觉得世界是清晰且明亮的患者!她在术后的聊天中表达了对医院以及医护人员的感激之情,尤其是综合科主任凌受良博士。

△蔡阿姨与小编的聊天画面
跨越千公里的求医,她的世界都明亮了
2023年中秋前一天,来了一位专门从湖北坐火车过来深圳爱尔眼科医院综合科门诊做手术的患者-----蔡阿姨。
据蔡阿姨讲述,十年前原本视力就不太好的左眼,十天之内视力下降明显,并伴有眼红、眼痛、眼胀、流泪、畏光等刺激症状,疼痛难忍。为了解决这个问题,她辗转湖北老家的几家医院进行检查和诊治。
检查结果很快就出来了,确诊为“FUCHS角膜内皮营养不良”,需要手术治疗。虽然有明确的治疗方式,但事情并没有发展得如想象中顺利,几家医院均回复-----“我们医院没有合适的角膜供体。”“手术费用还是比较高的...”

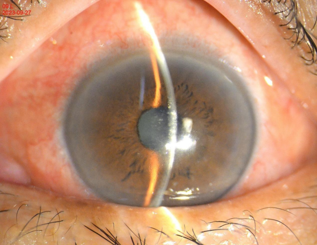
△蔡阿姨罹患FUCHS角膜内皮营养不良时的左眼
据深圳爱尔眼科医院综合科主任凌受良博士介绍,“FUCHS角膜内皮营养不良又称滴状角膜,是一种典型的角膜后部营养不良以角膜内皮的进行性损害,最后发展为角膜内皮功能失代偿为特征。此病多见于妇女,常于50岁以后出现症状并逐渐加重,表现为双眼先后发病。患者常有视力下降、眼痛、流泪、畏光、虹视、雾视等症状。此疾病只有通过角膜移植手术才有办法完全治愈,如不及时治疗,还有可能面临失明的后果。”
虽然蔡阿姨内心深知不治疗的后果,但由于现实因素以及角膜供体紧缺的原因,蔡阿姨只能先选择进行保守治疗,虽然疼痛较之前好转,但始终治标不治本,其他症状并无任何改善!
随着时间的推移,蔡阿姨发病次数更加频繁,什么事情都做不了,痛苦也写在脸上。山重水复疑无路,柳暗花明又一村,难过与绝望相交之际,蔡阿姨联系她曾经慕名前去求医的深圳爱尔眼科医院的综合科主任凌受良博士,得知深圳爱尔依托于爱尔集团的全国性眼库,有合适的角膜供体。随即,她带着无比激动的心情与她的家人在第一时间坐火车从湖北赶到深圳。
中秋前一天,凌受良主任为蔡阿姨进行“左眼穿透性角膜移植”手术,整个过程非常顺利。术后复查显示,蔡阿姨的眼睛也已经恢复得很好了,不用再承受眼睛带来的痛苦、也不用做家务的时候磕磕碰碰,更不用戴上眼镜看手机、看电视,最重要的是生活质量完全提上去了,世界也明亮了。
命运齿轮的转动,是世界明亮的前提
事实上,蔡阿姨不止做一次眼部手术,在此之前,她到过深圳爱尔眼科医院两次。2017年2月是第一次到院做手术,命运的齿轮在那刻转动,让她对以后的生活有了希冀;2021年3月是第二次到院做手术,虽然是一个简单的白内障手术,但让她重见清晰视界。
蔡阿姨首次到院也是因为FUCHS角膜内皮营养不良,但第一次到院并没有和上述讲到一样顺利。据悉,蔡阿姨于2015年就出现视力下降的情况,但没有其他明显症状,后并无理会,随着时间的推移,蔡阿姨的眼睛也开始出现畏光、流泪、眼痛等明显症状,便紧急到本地医院求医。
刚开始求医的道路很是坎坷,要不是无法治疗、要不就是没有角膜资源,蔡阿姨的心情很失落,甚至觉得她自己的后半生都没办法看清东西了,直至她从多方了解到深圳爱尔眼科医院的优势与能力,命运的齿轮开始转动。
深圳爱尔眼科医院不仅有专家还有紧缺的角膜资源。到院之后不久,本院综合科主任凌受良博士为蔡阿姨顺利进行“右眼穿透性角膜移植”手术!术后的她右眼不痛了,视力恢复得不错,也重燃对生活的希望。
四年之后,即2021年,蔡阿姨的右眼又出现视力下降的情况,不过好在是一个比较简单的问题-----老年性白内障。

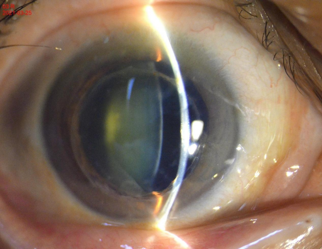
△蔡阿姨罹患白内障时的右眼
2021年3月,凌受良主任为其进行“右眼白内障超声乳化摘除术+人工晶体植入”手术。术后的蔡阿姨右眼视力很好,看所有东西都是变得明亮许多,重见以前的清晰视界,也为她高品质的生活质量打造了基础!

△蔡阿姨目前右眼的现状
本文地址:http://www.guangdongzixun.com/qushi/584.html
温馨提示:创业有风险,投资须谨慎!编辑声明:广东资讯网是仅提供信息存储空间服务平台,转载务必注明来源,部分内容来源用户上传,登载此文出于传递更多信息之目的,并不意味着赞同其观点或证实其描述,不可作为直接的消费指导与投资建议。文章内容仅供参考,如有侵犯版权请来信告知E-mail:1074976040@qq.com,我们将立即处理。
每日新闻
- 廊坊一案件家属实名反映情况,期盼依法公正核查
03-04 11:59
- 新春客流爆棚!同福双网融合解锁社区商业新路径
03-02 03:08
- 镍基合金粉末的精准定制时代:河北依铂新材料以IN718、IN625为基石,定义高温合金工业新标杆
02-27 07:25
- 2026刀具推荐:厨房实操不费力 一把王麻子好刀就够了
02-27 12:38
- 路边学习的邯郸女孩,你认真的样子真好看
02-17 12:00
- 嘻哈团圆年 笑声不打烊|来邯郸道听相声 欢欢喜喜过大年
02-11 03:26
- 开心麻花赵王阁剧场新春喜剧季正式启幕 春节不打烊解锁邯郸游玩新方式
02-11 03:26
- 泰名尔山那边民宿春节不打烊,赴一场山里的团圆年
02-10 04:41